【五院科普】当病理诊断迈入AI时代,诊断与效率的双重守护
在成都市第五人民医院病理科,一张小小的组织切片背后,往往藏着关乎健康的关键密码。病理诊断,这个长期被视为疾病判读“金标准”的环节,曾经离不开病理医师在显微镜下一帧一帧地审视图谱。而如今,人工智能技术的加入,正悄悄让这份需要“火眼金睛”的工作,变得既准又快!
从“人眼搜索”到“AI解码”
病理诊断的核心,在于解读组织切片中细胞形态与结构的细微变化。就拿胃癌诊断来说,传统模式下,医生需要在大量正常组织中辨识出病变区域,尤其早期癌灶可能非常隐匿,长时间镜下观察容易疲劳,也可能导致导致病灶从眼前溜走。
而人工智能辅助诊断系统改变了这个过程。先通过数字化扫描将切片变成高清数字图像,再借助病理大模型快速筛查。它不仅能准确识别异常细胞,如腺癌细胞、印戒细胞等,还能算出癌区占比,为诊断添上一份数据支持。
AI成为临床诊断的“多面手”
在实际临床中,AI已经成为医生的得力帮手。针对前列腺癌,AI能够自动完成Gleason评分——这是衡量癌症恶性程度的重要指标。以往评分多少依赖医生经验,而AI可以区分出评分3-5分的肿瘤组织比例,给出客观分型,帮助医生规划更个体化的治疗方案。

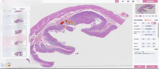
不止于此,在肺部、宫颈、胰腺等部位的病理诊断中,AI也能迅速标记出可疑区域,并用热力图提示医生重点查看。
诊断时间大幅“提速”
传统病理诊断流程,从制片、病例分发到报告签发,总耗时常常需要11.5小时;而智慧病理模式通过数字化扫描与AI智能分析,将时长压缩到6.5小时以内,其中病例分发和归档甚至实现“秒级完成”。
与此同时,AI还能帮助统一诊断标准,缓解不同医师之间的主观差异,让诊断结果更加稳定一致。
AI是助手,而非取代
需要明确的是,AI从来不是要代替医生,而是扮演得力助手的角色。遇到复杂或不典型病例时,系统会主动标注“建议人工复核”,最终诊断仍由医生综合判断完成。系统还会全程记录AI与医生的诊断过程,方便后续回顾与优化。
此外,数字化病理系统还支持远程会诊与分级诊疗,让优质诊断资源覆盖更广,同时也逐步构建起数字教学科研库,助力学科长远发展。