国庆期间,家住成都大邑县、73岁的何大爷突然感到胸口剧烈疼痛,呼吸也非常困难。家人一看情况不对,赶紧把他送到了当地的医院。经过检查,何大爷得的是急性肺栓塞。这是因为血管里的血块堵住了肺动脉,情况非常危急。当地医院马上给何大爷用了药,同时通过双向转诊绿色通道,很快把他转到了成都市第五人民医院,住进了呼吸与危重症医学科。
到医院的时候,何大爷的情况已经很不好了。他血液里的氧气含量一度掉到了85%左右,这说明身体正处在严重缺氧状态。肺血管疾病及介入组主诊医师任柏沉迅速查看了何大爷的情况,当机立断,制定了介入手术方案——通过导管把堵住的血块取出来。
医生团队细致地和何大爷及家人说明了现在的情况、为什么要做这个手术,以及可能存在的风险。在得到他们同意后,医院立刻启动应急机制,为何大爷实施了急诊手术。
手术室里,肺血管疾病及介入组的医生和手术室的同事们配合默契,操作熟练,在导管的引导下,准确地找到了被堵住的位置,成功吸除了致命的血栓并进行了局部溶栓。

手术后,任柏沉医生来查房
手术进行得很顺利。结束后,何大爷马上就感觉呼吸顺畅多了,胸口也不像之前那么疼了。他的血氧饱和度也逐渐回升到95%以上,身体各项指标都稳定了下来。这标志着何大爷度过了最危险的阶段。目前,何大爷正在进一步康复治疗中。
医生小访谈
1. 医生,什么是肺栓塞?我们该怎么发现它?
任柏沉(肺血管疾病及介入组主诊医师):肺栓塞,简单来说,就是有东西(比如血块)堵住了肺里的血管,导致肺的某些部分得不到血液供应。这会引起一系列症状,比如:喘不上气、呼吸困难、胸口痛、头晕甚至突然晕倒、咳嗽、咳血、严重时甚至休克死亡。所以,如果突然出现不明原因的呼吸困难、胸口痛或晕倒,我们都要怀疑肺栓塞的可能。这时候,医生通常会建议做一个专门的胸部增强CT检查,来帮助明确诊断。

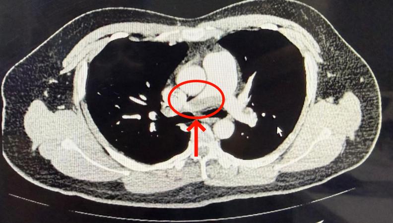
红色箭头即为肺血栓栓子
2. 急性肺栓塞这么危险,我们平时该怎么预防呢?
任柏沉(肺血管疾病及介入组主诊医师):预防是关键,主要从以下几个方面入手:
勤活动,避免久坐:长时间坐飞机、火车或办公时,每隔1-2小时要起身走动,伸展腿部,做勾脚尖、绷脚尖的动作。
多喝水:保证身体水分充足,避免血液变得黏稠。
健康生活:控制体重、戒烟限酒、饮食均衡,保持大便通畅。
高危人群要警惕:如果您或家人有血栓病史、近期做过大手术、患有癌症或需要长期卧床,务必遵从医嘱,可能需要使用抗凝药物或医用弹力袜来预防。
留意腿部信号:如果发现单侧腿部出现肿胀、疼痛、发热或颜色改变,可能是血栓征兆,应立即就医。
主诊组专家介绍:
成都市第五人民医院
肺血管疾病及介入组主诊医师
擅长:精通呼吸介入相关诊疗技术,如:支气管腔内冷冻治疗高频电烧灼治疗、支气管腔内超声等。咯血、肺栓塞经血管介入诊疗肺高压的查因及治疗。
医生简介:
副主任医师
四川省医师协会介入医学分委会委员
四川省预防医学会呼吸道介入与精准防治分会委员世界内镜医师协会呼吸内镜协会理事成都市肿瘤介入专委会委员
成都市抗癌协会肺癌诊疗一体化专委会委员
门诊时间:
周二上午(专家门诊)
周四上午(西区内科门诊)
成都市第五人民医院
肺血管疾病及介入组
擅长:咯血、肺栓塞的血管介入诊疗肺部高危结节的微创治疗如胸腔镜手术、局部消融治疗等。肺部疾病的经血管及经皮的介入诊治。
医生简介
主治医师
先后在西南医院及中日友好医院进修学习
